106年:放射診斷(1)

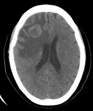
56 歲肺癌男性,最近兩天頭痛,肢體無力, CT 顯示右側腦部白質( white matter )一片低密度區域, 請問這低密度區域所指主要為何? 圖片

A出血性中風( hemorrhagic stroke )
B梗塞性中風( brain infarction )
C腫瘤傍腦水腫( peritumoral edema )
D腫瘤本身( tumor )

詳細解析

本題觀念:

本題考核肺癌腦轉移(brain metastasis from lung cancer)在非對比 CT 上的影像表現,重點為腦白質低密度區域的鑑別診斷。56 歲肺癌男性,出現頭痛及肢體無力等神經症狀,CT 顯示右側腦部白質大片低密度區,需辨別此低密度代表何種病理過程。

影像分析:

圖片為腦部非對比 CT(non-contrast CT brain)橫切面影像,顯示:

  • 右側大腦半球:大片低密度(hypodense)區域,主要分布於白質(white matter),呈手指狀延伸(finger-like projection)模式,符合血管源性水腫特徵
  • 灰質相對保留:低密度區域主要侷限於白質,皮質灰質(cortical grey matter)密度相對正常,此為血管源性水腫(vasogenic edema)的特徵性表現
  • 佔位效應(mass effect):右側腦室受壓,中線結構可見輕度向左偏移
  • 無高密度出血灶:未見明顯高密度(hyperdense)區域,排除急性出血性中風
  • 腫瘤本體:在此非對比影像上腫瘤本體不明顯,需對比增強 CT 或 MRI 方能清楚顯示,但周圍廣大水腫區域強烈提示腦轉移伴隨腦水腫

此影像所見:大片白質低密度 + 無出血 + 有肺癌病史,強烈支持腦轉移瘤旁血管源性水腫(perit

...(解析預覽)...