106年:神經物治(1)
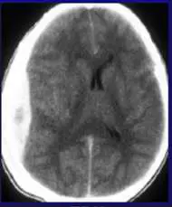
一位創傷性腦傷病患的電腦斷層影像如下圖。根據此圖,此病患有以下何種腦部出血? 
A腦內血腫
B硬膜外血腫
C硬膜下血腫
D蛛網膜下腔血腫
詳細解析
本題觀念:
本題考查**創傷性腦部出血(traumatic intracranial hemorrhage)**的電腦斷層(computed tomography, CT)影像判讀,重點在於區分四種顱內出血類型:腦內血腫、硬膜外血腫、硬膜下血腫、蛛網膜下腔出血的影像特徵。
影像分析:
本題 CT 影像(腦部軸位平掃,non-contrast axial CT)所見:
- 左側顱骨內板旁可見一處凸透鏡形(biconvex / lenticular shape)高密度(hyperdense)病灶
- 病灶邊界清楚,呈雙凸面向內的透鏡狀,緊貼顱骨內板
- 病灶不跨越顱縫線(suture lines)
- 周邊腦組織有局部受壓跡象,中線結構輕度向右偏移
- 無廣泛性蛛網膜下腔或腦室內積血
影像印象:左側顱骨內板下方凸透鏡形高密度病灶,最符合**急性硬膜外血腫(epidural hematoma, EDH)**的典型 CT 表現。
選項分析
(A) 腦內血腫(intracerebral hematoma) ❌ 腦內血腫位於腦實質(brain parenchyma)內部,CT 呈現圓形或橢圓形高密度影,周邊有低密度水腫帶,不貼近顱骨,且不呈凸透鏡形。本題病灶緊貼顱骨內板、呈雙凸形,不符合腦內血腫的典型位置與形狀。
...(解析預覽)...

升級 VIP 解鎖圖文解析