104年:醫學二(1)
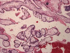
一位 30歲女性,因下腹痛來急診,身體檢查發現病人血壓過低,緊急開刀發現右側輸卵管有血塊。病理檢查發現如下圖的構造,最可能的診斷是: 
A絨毛癌( choriocarcinoma )
B子宮外孕( ectopic pregnancy )
C水泡狀胎塊( hydatidiform mole )
D漿液性癌( serous carcinoma )
詳細解析
本題觀念:
本題考查子宮外孕(ectopic pregnancy)的臨床表現與病理診斷。子宮外孕是婦科急症中最重要的急腹症之一,輸卵管破裂導致腹腔內出血(hemoperitoneum),可造成休克危及生命。病理上以輸卵管壁內可見絨毛膜絨毛(chorionic villi)及滋養層細胞(trophoblast)為特徵。
影像分析:
顯微鏡下圖片(H&E 染色,低倍)顯示:
- 主要結構:大量形態規則的分支狀絨毛膜絨毛(branching chorionic villi),絨毛外形輪廓清晰,呈樹狀分支結構。
- 絨毛特徵:絨毛間質(villous stroma)呈水腫疏鬆狀,但無顯著的囊性膨大(cistern formation),無完全水泡狀胎塊所見的極度腫大絨毛。
- 滋養層細胞:絨毛表面可見細滋養層(cytotrophoblast)和合體滋養層(syncytiotrophoblast),無顯著異型增生。
- 背景:大量紅血球(hemorrhage),符合輸卵管破裂出血的背景環境,可見纖維性組織(推測為輸卵管壁)。
- 無壞死性增殖:無大片無絨毛核碎片增生,排除絨毛癌(choriocarcinoma)。
上述組織學形態符合**子宮外孕(輸卵管妊娠)**的病理表現:輸卵管內可見形態正常的絨毛膜絨毛與滋養層細胞,伴隨出血背景,
...(解析預覽)...
![醫師[1] - 生殖系統與乳房病理 - AI 圖文解析預覽](/_next/image?url=https%3A%2F%2Fbgvxfcrmbdvefjhuvrmt.supabase.co%2Fstorage%2Fv1%2Fobject%2Fpublic%2Fvisual-explanations%2F1070%2F71300_t1u1b200l.webp&w=3840&q=75)
升級 VIP 解鎖圖文解析