105年:醫學四(2)

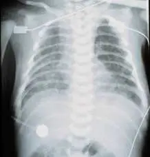
4天大男嬰,因呼吸急促及厲害發紺現象住院,胸部 X光檢查如圖所示。給予腎前列素( PGE 1 )後,其發紺及呼吸急促現象並未改善,下列何者為最可能的心臟問題? 圖片

A肺靜脈回流異常合併阻塞
B大血管轉位合併心室中膈缺損
C法洛氏四合症合併單側肺動脈缺失
D右心室雙出口合併肺動脈狹窄

詳細解析

本題觀念:

本題考核新生兒發紺型先天性心臟病(cyanotic congenital heart disease)的鑑別診斷,核心在於理解:腎前列素(prostaglandin E1, PGE1)無法改善發紺的情境,以及配合胸部 X 光表現,判斷最可能的心臟異常。正常情況下,PGE1 可維持動脈導管(ductus arteriosus)開放,改善「導管依賴型」發紺性心臟病;若 PGE1 無效甚至加重,則強烈提示阻塞型肺靜脈全部異常回流(obstructed total anomalous pulmonary venous return, TAPVR)。

影像分析:

胸部 X 光顯示:

  • 心臟大小:心臟輪廓相對偏小(small heart),心胸比(cardiothoracic ratio)不大,無明顯心臟擴大
  • 肺野:雙側肺野呈現瀰漫性霧狀(diffuse haziness),肺紋路增加,整體呈現典型的**肺靜脈鬱血及肺水腫(pulmonary venous congestion and edema)**表現,有「暴風雪(snowstorm)」樣外觀
  • 縱隔:無明顯縱隔擴寬,無典型「雪人(snowman)」徵象(後者見於無阻塞型上腔型 TAPVR)
  • 整體印象:「小心臟 + 嚴重肺水腫」的組合

...(解析預覽)...