105年:醫學六(2)

13 歲女性病患,月經未來且下腹痛,故接受電腦斷層檢查,結果如下圖。其最有可能的診斷為何? 圖片

A子宮肌瘤( uterine myoma )
B子宮內膜癌( endometrial cancer )
C輸卵管卵巢膿瘍( tubo-ovarian abscess )
D子宮融合異常合併處女膜未穿孔( uterine fusion abnormality with imperforated hymen )

詳細解析

本題觀念:

本題考查「子宮融合異常合併處女膜未穿孔(uterine fusion abnormality with imperforate hymen)」的電腦斷層(CT)影像特徵與臨床表現。13 歲青春期女性出現原發性月經未來(primary amenorrhea)合併週期性下腹痛,此組合高度提示先天性婦科解剖異常導致月經血液滯留。

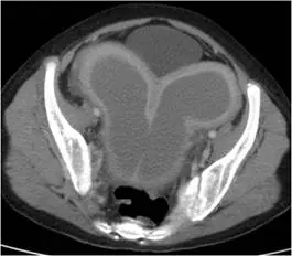
影像分析:

本題 CT 橫切面影像顯示骨盆腔內有一個巨大的雙葉狀(bilobed)低密度囊性結構,呈「左右對稱分葉」或「W 形」外觀,幾乎佔據整個骨盆腔。具體所見:

  • 雙側分葉囊腔:兩個分別位於左右兩側的囊性腔室,中間有薄隔膜或輕微凹痕分隔,形成雙葉結構(figure-of-8 / bilobed appearance)。此形態高度符合子宮雙子宮(uterus didelphys)或子宮融合異常,雙側各有積血腔室(hematometra)
  • 腔室壁平滑:囊腔壁薄而均勻,無明顯壁結節或鈣化,不符合惡性病灶
  • 低密度內容物:內容物接近水密度,符合積血(hematocolpos/hematometra)或積液(hydrocolpos)的影像表現
  • 膀胱受壓:前方膀胱受到大型盆腔腫塊向前推擠,可見膀胱被壓扁
  • 整體占位效應:病灶充滿整個小骨盆,對稱且邊緣整齊

此雙葉囊性盆腔腫塊在一位 1

...(解析預覽)...