105年:醫學三(1)

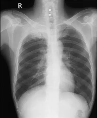
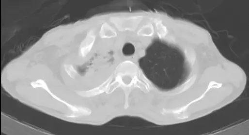
51 歲男性病患,因為近半年來右上背酸痛和右上肢麻痹和無力到院就醫。他因這些病症在他院接受止痛藥物治療和手術治療頸椎椎間盤突出開刀,但症狀未見改善。到院前三個月,他開始出現右眼皮下垂和視力模糊。他過去抽菸,一天一包達三十年之久。到院胸部 X光和電腦斷層檢查如圖。多次痰液微生物顯微鏡檢和培養均為陰性。以下何者是最有可能的診斷? 圖片 圖片

Apancoast tumor
B過敏性肺部氣管麴菌感染( allergic bronchopulmonary aspergillosis )
C肺膿瘍(lung abscess )
D肺部動脈靜脈畸形( arterio-venous malformation of the lung )

詳細解析

本題觀念:

本題為一典型的 Pancoast 腫瘤(superior sulcus tumor)臨床情境,考驗考生整合肺尖腫瘤的多系統受侵犯表現(臂神經叢、交感神經、頸椎神經根)與影像學特徵。此類腫瘤因位置特殊,初期常被誤診為頸椎退化性疾病,延誤診斷是本題的核心教學重點。

影像分析:

影像一:胸部 X 光(PA 正面)

胸部 X 光顯示右側肺尖(right lung apex)區域可見不對稱性密度增高影(apical opacity),呈現均質的軟組織密度陰影,位於右側鎖骨上方的 superior sulcus 區域。相較於左側乾淨的肺尖,右側明顯有胸膜增厚或軟組織腫塊影,此發現高度懷疑肺尖部腫瘤(apical cap / superior sulcus mass)。右側肋骨及鎖骨骨質是否有破壞需進一步 CT 評估。

影像二:胸部電腦斷層(CT,軸向切面)

CT 軸向切面顯示右側肺尖可見一不規則軟組織腫塊(soft tissue mass),腫塊位於右側 superior sulcus 區域,緊鄰胸壁及縱膈。腫塊邊緣不規整,與周圍脂肪平面界線模糊,提示有胸壁侵犯(chest wall invasion)。左側肺野清晰,縱膈無明顯淋巴結腫大。此 CT 發現與 Pancoast 腫瘤的典型影像表現吻合:位於肺尖的不規則軟組織腫塊,

...(解析預覽)...