105年:醫學五(1)
3歲男童,父母因他左手掌無法外翻向上捧碗吃飯,帶來求診,並接受 X光檢查,由症狀及 X光影像顯示下列何者是最可能的診斷?

A先天橈骨頭脫臼( congenital radial head dislocation )
B臂神經叢產程傷害( brachial plexus birth injury )
C先天橈尺骨黏合( congenital radioulnar synostosis )
D蒙特基亞氏骨折( Monteggia’s fracture )
詳細解析
本題觀念:
先天橈尺骨黏合(congenital radioulnar synostosis, CRUS)是一種少見的前臂先天發育異常,特徵為橈骨(radius)與尺骨(ulna)在近端發生骨性或纖維性融合,導致前臂旋轉功能完全或大部分喪失,尤其是旋後(supination)動作受限最為明顯。本題為 3 歲男童,表現為左手掌無法外翻向上(即旋後障礙),結合 X 光影像,是典型的 CRUS 表現。
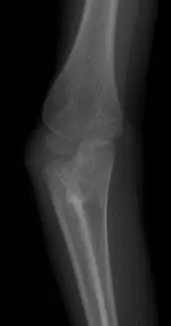
影像分析:
本題提供兩張前臂/肘關節 X 光影像(前後位及側位):
圖一(前後位 AP view):可見肘關節及近端橈尺骨區域。橈骨頭(radial head)與近端尺骨呈現異常接近,近端橈尺骨交界處有骨性連結跡象,正常的橈尺近側關節(proximal radioulnar joint)間隙消失,提示兩骨近端發生融合(synostosis)。
圖二(側位 lateral view):從側面觀察前臂近端,可見橈骨與尺骨的正常解剖關係消失,兩骨在近端呈現骨性連結,無法各自獨立運動,橈骨頭形態異常。
這兩張影像與先天橈尺骨黏合的典型 X 光表現相符:近端橈尺骨骨性融合,橈骨頭形態改變(可伴隨橈骨頭後脫臼),前臂固定於旋前(pronation)位置。
選項分析
**(A) 先天橈骨頭脫臼(congenital radial head disloc
...(解析預覽)...
![醫師[2] - 手外科學 - AI 圖文解析預覽](/_next/image?url=https%3A%2F%2Fbgvxfcrmbdvefjhuvrmt.supabase.co%2Fstorage%2Fv1%2Fobject%2Fpublic%2Fvisual-explanations%2F1077%2F71841_t353o064t.webp&w=3840&q=75)
升級 VIP 解鎖圖文解析