105年:醫學五(1)

46 歲林先生因排解血尿而到醫院檢查,他並沒有其他不舒適症狀。醫師為他做 IVU 檢查顯示膀胱異常,又進一步做 CT 檢查,病變如圖示。林先生最可能患了什麼病? 圖片 圖片 圖片

A膀胱結石
B膀胱炎
C膀胱癌
D攝護腺肥大

詳細解析

本題觀念:

無痛性血尿(painless hematuria)是泌尿道惡性腫瘤的警示症狀,尤其膀胱癌(bladder cancer)在台灣及全球均是最常見的原因之一。本題 46 歲男性以無痛性血尿就診,經靜脈腎盂攝影(intravenous urography, IVU)發現膀胱異常,CT 進一步確認膀胱腔內病灶,正確診斷為膀胱癌(bladder cancer)。

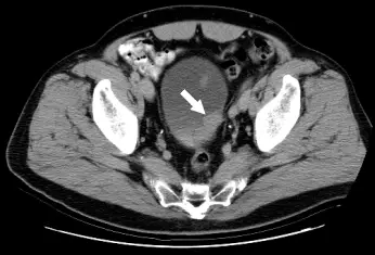
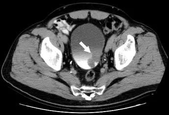
影像分析:

本題提供三張影像:

圖一(IVU 骨盆 X 光,造影劑充盈期):正面觀骨盆攝影顯示膀胱充滿顯影劑(標示 "FULL"),白色箭頭(×2)指向膀胱左後壁,可見局部充盈缺損(filling defect)——即膀胱輪廓不規則,造影劑無法充填之處,提示有腫塊突入膀胱腔內。此為膀胱腫瘤的典型 IVU 表現。

圖二(CT 軸位切面,上方切面):骨盆 CT 橫斷面影像顯示充盈的膀胱,白色箭頭指向膀胱後壁的局部壁增厚(focal wall thickening)或腔內腫塊,呈現軟組織密度,強化後與膀胱壁連接,提示為膀胱壁來源的腫瘤性病灶。

圖三(CT 軸位切面,下方切面):另一層面的 CT 橫斷面,白色箭頭指向膀胱內的腫塊,腫塊形態不規則,呈乳頭狀或結節狀突入膀胱腔,膀胱壁局部增厚,整體影像特徵高度符合膀胱移形上皮癌(urothelial carcinoma/transiti

...(解析預覽)...