105年:醫學六(1)
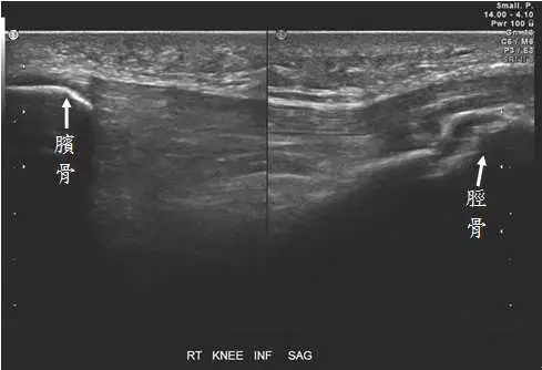
11 歲男童,主訴右膝疼痛,膝蓋前側之灰階及彩色杜卜勒超音波檢查如圖,最可能的診斷為何?

A骨髓炎(osteomyelitis )
B骨肉瘤(osteosarcoma )
C奧斯戈德氏病( Osgood-Schlatter syndrome )
D髕韌帶肌腱炎( patella tendinitis )
詳細解析
本題觀念:
奧斯戈德氏病(Osgood-Schlatter syndrome, OSD)是青少年最常見的膝前側疼痛原因之一,屬於脛骨粗隆牽引性骨突炎(traction apophysitis of the tibial tuberosity)。本題利用超音波(包含灰階與彩色杜卜勒)提供典型影像特徵,考驗考生結合臨床表現與影像判讀的能力。
影像分析:
圖一(灰階超音波): 影像標示為「RT KNEE INF SAG」(右膝下方矢狀切面),可見左側標示為「髕骨」的高回聲骨性結構,右側標示為「脛骨」,兩者之間可見髕韌帶(patellar tendon)走行於皮下組織深面。髕韌帶遠端於脛骨粗隆附著處可見局部增厚,骨表面回聲不規則,有輕度軟組織腫脹,符合骨突炎(apophysitis)的灰階特徵。
圖二(彩色杜卜勒超音波): 同一矢狀切面加上彩色杜卜勒訊號,在髕韌帶遠端插入脛骨粗隆處可見豐富的橙紅色及藍色血流訊號,代表此處有顯著的新生血管形成(neovascularization)/充血(hyperemia)。此為 OSD 活動性炎症的典型杜卜勒特徵,也是區別靜止期與活動期的重要指標。
選項分析
(A) 骨髓炎(osteomyelitis) 骨髓炎在超音波上可見骨膜下積液(subperiosteal fluid colle
...(解析預覽)...
![醫師[2] - 運動醫學與關節重建 - AI 圖文解析預覽](/_next/image?url=https%3A%2F%2Fbgvxfcrmbdvefjhuvrmt.supabase.co%2Fstorage%2Fv1%2Fobject%2Fpublic%2Fvisual-explanations%2F1078%2F71937_t021v043y.webp&w=3840&q=75)
升級 VIP 解鎖圖文解析