112年:內專

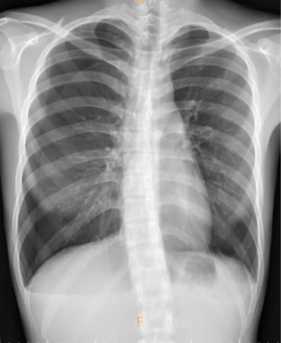
某19歲女性病患因胸悶至門診就醫。血壓 105/50 mmHg,心跳80次/分鐘。胸部X光顯示如圖。此時在門 診應優先安排下列何種檢查最為適當? 圖片描述

A安排胸部電腦斷層檢查。
B偵測手指血氧(pulse oximetry)。
C安排核醫肺灌流顯影(perfusion scan)。
D抽血檢查D-dimer。
E安排心電圖(ECG)。

詳細解析

本題觀念:

初步評估胸痛或胸悶病人時,應優先落實ABC(Airway, Breathing, Circulation),其中呼吸功能評估包含測量氧飽和度(pulse oximetry)——「第五生命徵象」——用以判斷有無低氧血症並指引後續處置。

影像分析:

從正面胸部X光可見左側胸廓內有一條清晰的胸膜線(pleural line),外側無肺血管紋理,代表左側肺塌陷(spontaneous pneumothorax)。同時可見左側縱隔稍微向對側推擠,顯示可能有張力性成分,但病人目前血壓及心跳尚未顯著不穩定。右側肺野無異常陰影或肺不張情形。

選項分析

  • 選項A 安排胸部電腦斷層檢查
    CT需耗費較多時間、成本及輻射,且肺自發性氣胸一經X光可確診,除非有診斷不確定(如巨大肺大泡疑雲)才考慮CT,非一般門診首選(sciencedirect.com)。

  • 選項B 偵測手指血氧(pulse oximetry)
    在所有呼吸困難或胸痛病人,應立即以血氧飽和度監測(第五生命徵象)評估有無低氧血症,並依結果給予氧氣治療及決定後續影像或侵入性處置時機。門診即可

...(解析預覽)...