111年:內專

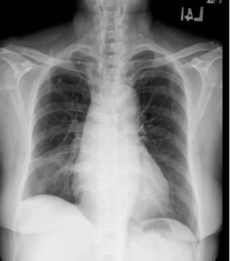
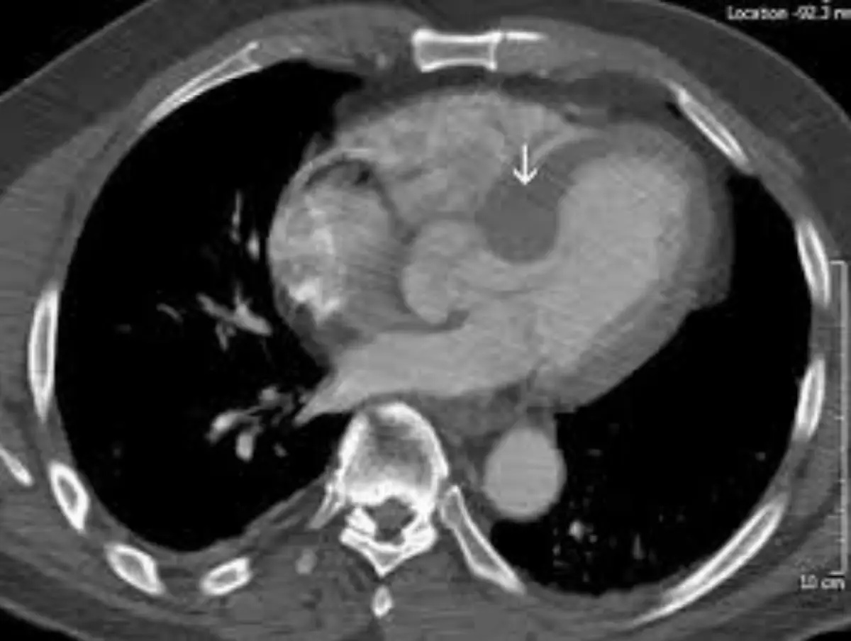
病人64歲家庭主婦,近三個月來有間歇性胸悶及運動性呼吸困難。病人有氣喘及高血壓10年病史,規則 服用Ipratropium或Furosemide + Aldactone + Digoxin + Aspirin。事實上病人過去10年前就有類似症 狀,再多加服用上列藥物,也就改善。只是近月來全身倦怠,食慾不振,上腹微痛及體重減輕七公斤,乃 於七月廿六日住院診療。病人Height: 156 cm Weight: 68kg ; T/P/R:37.1/88/16;。 BP: 110/73 mmHg。理學檢查發現心臟大小正常,規則律跳,唯心尖處(Apical area) 有雙峰脈波bifid pulse) 及在左上 胸緣及心尖處有Gr 4/6 Pansystolic murmur,下肢有2度浮腫,但其他器官並未有異常。血球檢 查:WBC,10.14k/uL; RBC, 4.79 M/uL; Platelet, 169K/uL。血液生化結果: Albumin, 4.2 gm/dL; T-Bil, 0.86 mg/dL; BUN, 16.8 mg/dL; Cre1.0 mg/dL; ALT, 90 U/L。其心電圖及胸部X光如圖。經心導管檢查: 大動脈 血壓, 142/68 mmHg; 左心室出口部( LVOT), 158/28 mmHg; 左心室心尖部, 198/32 mmHg. 其左心室造影 及Cardiac CT如圖。請問病人的正確心臟診斷是: 圖片描述 圖片描述 圖片描述 圖片描述

A高血壓性心臟病(Hypertensive cardiovascular disease)。
B左心室心尖肥厚性心肌病(LV apical hypertrophic cardiomyopathy)。
C左心室中部心肌肥厚病(Mid-LV hypertrophic cardiomyopathy)。
D缺血性心臟病(Ischemic cardiomyopathy)。
E擴大性心肌病(Dilated cardiomyopathy)。

詳細解析

本題觀念:

肥厚性心肌病(Hypertrophic Cardiomyopathy, HCM)亞型中,以中腔(mid‐ventricular)肥厚合併心尖部壓力梯度及心尖動脈瘤(apical aneurysm)最具診斷及預後意義。此類病人因心室中腔受到肌肉環狹窄,導致心尖腔壓力顯著升高,造成心肌缺血、纖維化,進而形成動脈瘤並引發典型的壓力梯度。

影像分析:

  1. 胸部X光
    心臟輪廓無明顯擴大,肺野無顯著充血或積液跡象,提示非擴張型心肌病或重度心衰主導(與擴大性心肌病、嚴重心衰不符)。

  2. 心電圖
    – 明顯左心室肥厚電壓(R波在V4、V5高振幅)。
    – 前壁(V4–V6)深倒置T波,會見於HCM,尤其apical或mid‐ventricular肥厚型。

  3. 左心室造影
    – 顯示典型「hourglass」中腔狹縮:心室中部劇烈狹窄,下方心尖腔持續存在,形成雙腔構造。
    – 心尖部明顯擴張、牆面動作遲緩或無動作,符合心尖動脈瘤定義。

  4. Cardiac CT
    – 橫截面可見心室中段室壁明顯肥厚,腔內呈狹窄;心尖部壁薄而凸出(箭示),即心尖動脈瘤(apical aneurysm)。

  5. 心導管壓力測量
    – 主動脈壓力142/68 mmHg、LVOT 158/28 mmHg、心尖部198/

...(解析預覽)...