110年:內專

40歲企業主管因有心悸及呼吸困難有一個星期之久,乃前往A院求診,認定是上呼吸道感染,但處置無效,三天後至B院。病人在2009年診斷突發性上心室快跳,且有多年肥胖(BMI=41.5 Kg/m²) 。理學檢查: BP: 156/91 mmHg, HR:141/min, RR:28/min, Temp: 36.90℃, SpO2: 97%,無貧血,頸靜脈正常,甲狀 腺未有異常,胸部有混濁呼吸聲,心臟稍大,不正常律動,未有S3及心雜音,肝脾不大,無腹水,雙下 肢微腫時,心電圖、胸部X-光及胸部電腦斷層如圖。其生化及血液氣體檢驗如表。請問下列何項診斷最 正確? 圖片描述 圖片描述 圖片描述 圖片描述 圖片描述

A冠狀動脈栓塞症。
B高血壓心血管病。
C擴張性心肌病。
D肺動脈栓塞症。
E風濕性心臟病。

詳細解析

本題觀念:

急性肺動脈栓塞 (pulmonary embolism, PE) 所引起的右心負荷急劇上升,可在心電圖、動脈血氣與 NT-proBNP 等檢查呈現「右心受壓」表徵,影像學上最具決定性的證據為 CT pulmonary angiography 內之肺動脈充盈缺損。本題即圍繞此「急性右心負荷+肺動脈內血栓」的鑑別診斷。

影像分析:

  1. 心電圖

    • 節律規則、心室率約 140/min,屬 sinus tachycardia。
    • V1-V3 及 inferior leads 可見 T wave inversion,伴輕度右軸偏移;I 導程深 S 波、III 導程 Q 波+倒 T 波,形成經典 S₁Q₃T₃ pattern。以上屬急性右心負荷典型表現。
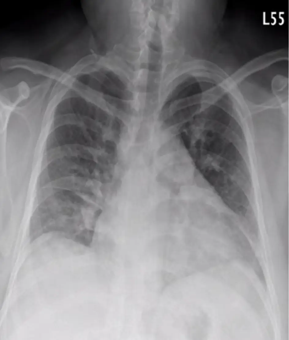
  2. 胸部 X-ray

    • 心臟大小無明顯擴大,兩肺紋理部分區域變少並呈相對透明 (Westermark sign),右下葉近胸膜處淡淡楔形實變陰影,符合 Hampton hump。雖敏感度低,但在臨床情境下具高度提示性。
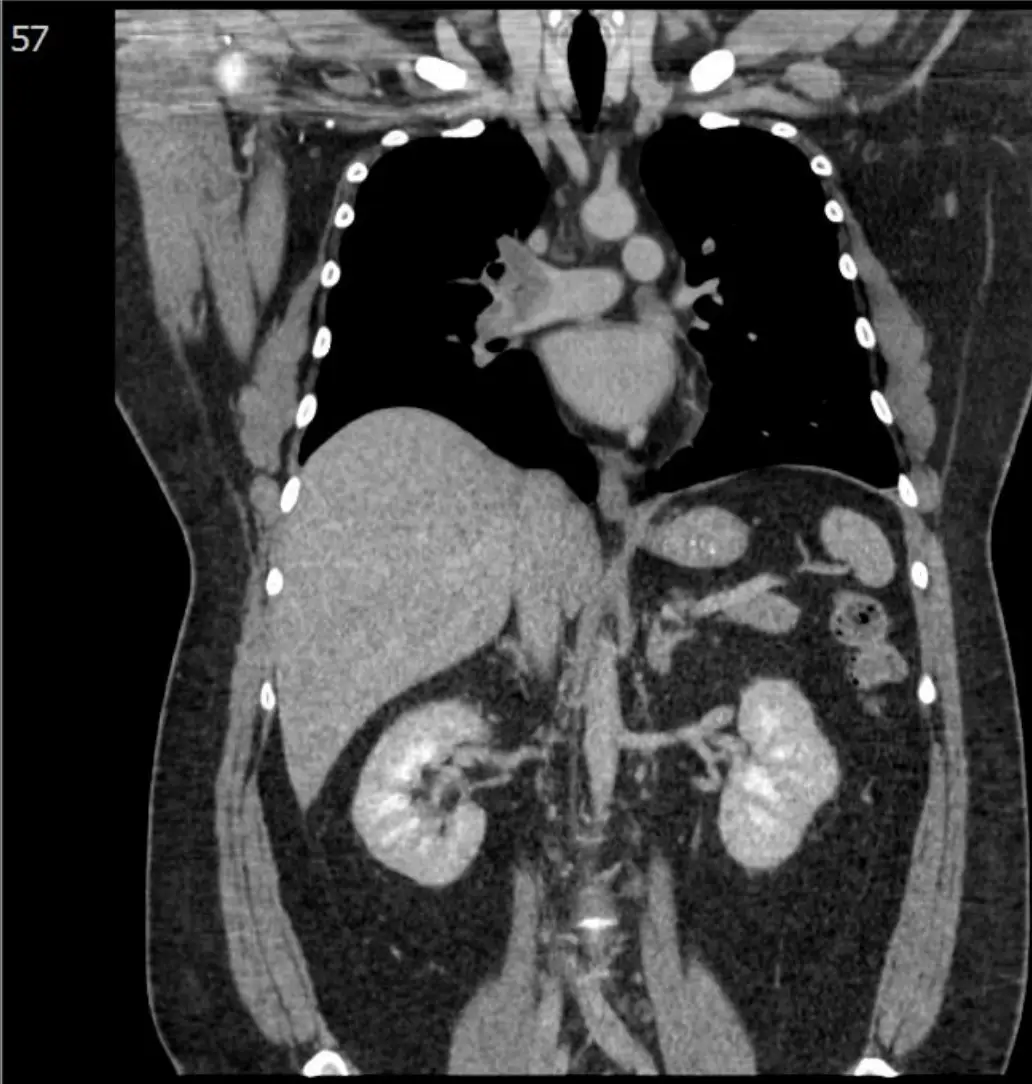
  3. 胸部 CT (axial 與 coronal)

    • 主肺動脈及左右肺動脈幹可見低密度充盈缺損被對比劑包圍,呈「中央栓子」樣 (central filling defect)。
    • 右心室略大於左心室,肺動脈主幹直徑增大,皆為急性右

...(解析預覽)...