110年:內專

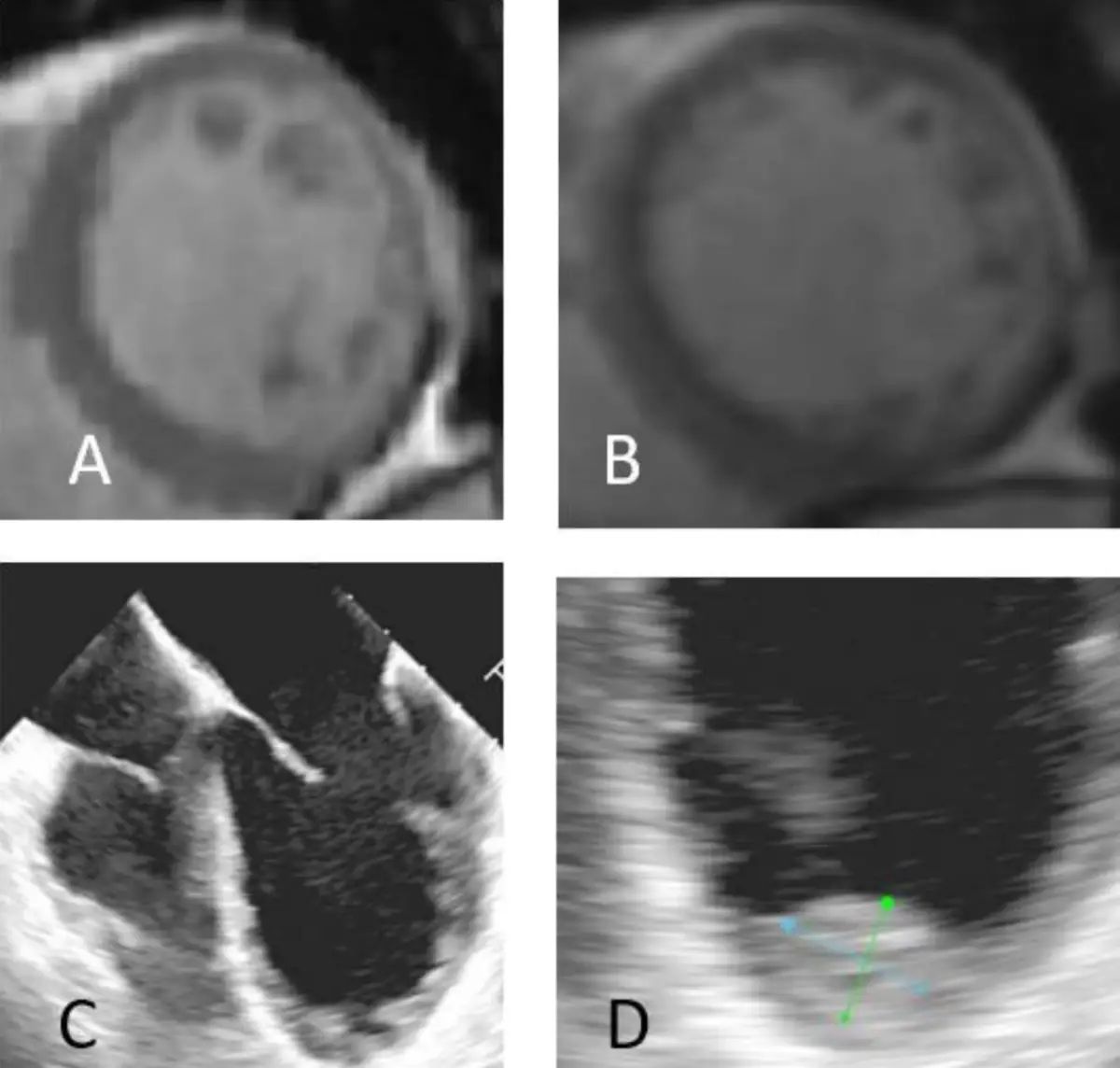
一位55歲女性病患因端坐呼吸與動喘一週而來住院。身體診察發現血壓90/56毫米汞柱,心跳每分 鐘102下,頸靜脈怒張,心音低遠併第三心音,肺部有囉音,雙下肢小腿與腳部水腫。心電圖如圖一。心臟 超音波呈現左心室擴大,瀰漫性左心室收縮功能異常,左心室射出分率(left ventricle ejection fraction)為25%。心臟磁振造影檢查如圖二A與B。經食道心臟超音波如圖二C與D。請問下列敘述何者錯誤? (1)該病患的心電圖呈現 low voltage in frontal leads (2)該病患心電圖呈現心房顫動 (3)該病患之心臟磁 振造影影像檢查呈現左心室心肌緻密化不全(left ventricular non-compaction) (4)該病患之心臟磁振造影影 像檢查呈現急性心肌發炎 (5)該病患應使用口服抗凝血劑 (6)這種疾病有時是因肌節(sarcomere)基因異常 引起 圖片描述 圖片描述

A(1)+(3)+(6)。
B(2)+(3)+(5)。
C(2)+(4)。
D(2)+(4)+(5)。
E(2)+(6)。

詳細解析

本題觀念:

左心室心肌緻密化不全(left ventricular non-compaction, LVNC)是一種源於胎兒期心肌緻密化過程受阻的原發性心肌病。典型影像表現為左心室心尖或中遠端壁層出現明顯粗大小梁與深層小梁間凹陷,造成「雙層心肌」(non-compacted layer 與 compacted layer);收縮功能常受影響而導致心衰竭、心律失常及血栓栓塞。心電圖可見 QRS 低電壓或傳導異常但並非特異;心臟磁振造影 (CMR) 以非緻密層/緻密層厚度比值 ≥2.3(舒張期)為診斷要件。由於深層凹陷內血流停滯及 EF 明顯下降,常需考慮口服抗凝。

影像分析:

  1. 心電圖:十二導程 QRS 波幅在肢體導程均低於 5 mm、前胸導程亦偏低,節律規則,每搏前可辨識 P 波,RR 間距大致固定,無基線顫動—為竇性心搏伴低電壓。
  2. CMR (A, B):短軸切面可見左心室內層密集的放射狀粗大小梁與深凹陷,外層致密心肌薄;非緻密/緻密層厚度比肉眼明顯大於 2.3,無明顯線性延遲增強 (late gadolinium enhancement) 支持急性心肌炎。
  3. 經食道心臟超音波 (C, D):四腔及短軸觀顯示心尖與側壁大片海綿狀小梁,小梁間灌注與左心室腔相通,測量箭頭標示非緻密/緻密層比值明顯升高;室腔擴大、收縮扭動減弱,與低 EF 相符。

...(解析預覽)...