110年:內專

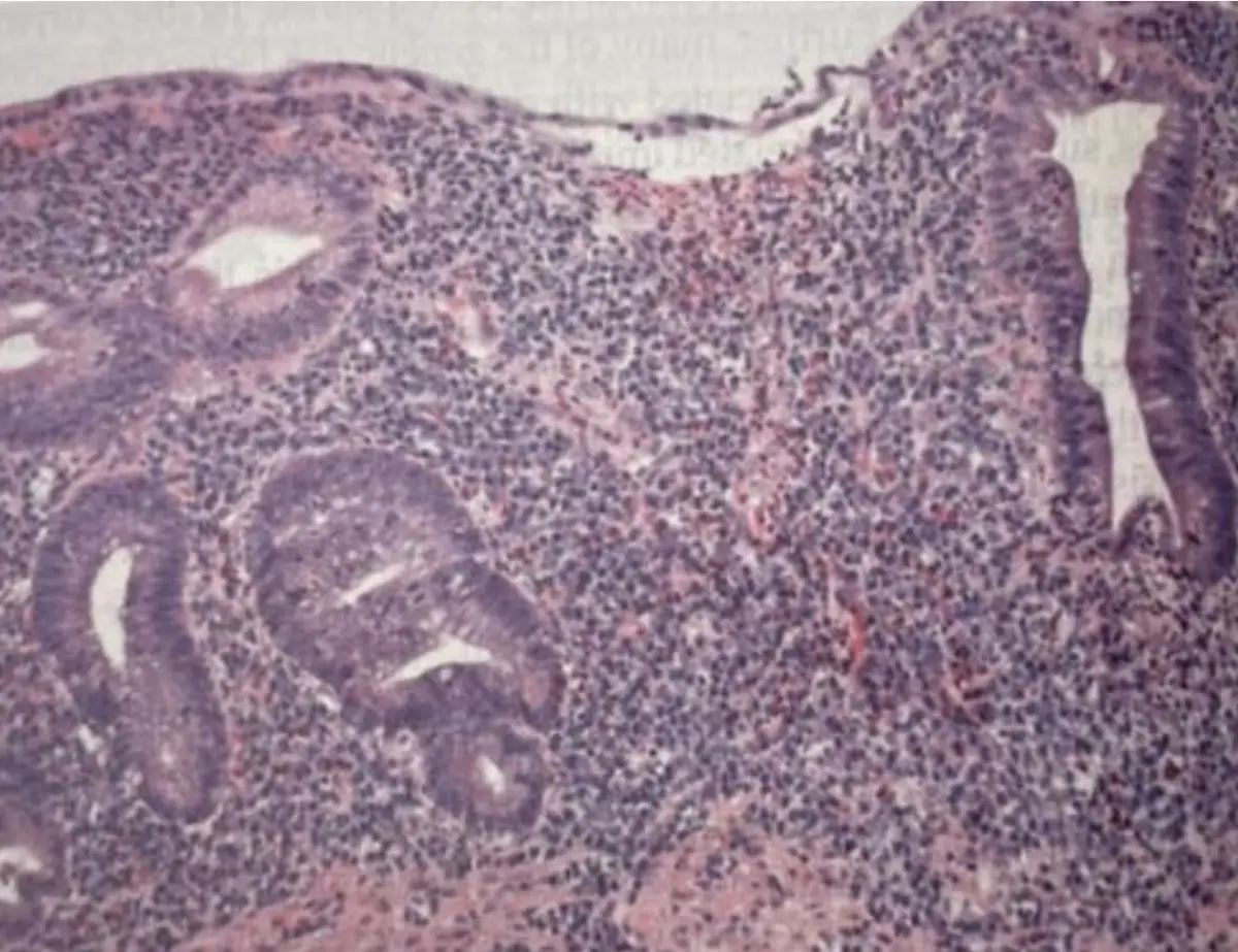
23歲男性因解黏液便、腹部絞痛合併直腸出血,接受全大腸鏡檢查(結果如圖一),切片檢查病理圖像(圖 二),下列有關此病的敘述,何者為非?(1)西班牙裔美國人發生率較白人為高 (2)抽煙可降低此病的發生率 (3)口服避孕藥會增加風險 (4)切除盲腸(appendectomy)會增加風險 (5)出生一年內使用抗生素會增加風險 圖片描述 圖片描述

A(1)+(2)+(3)。
B(1)+(3)+(4)。
C(2)+(3)+(4)。
D(2)+(3)+(5)。
E(3)+(4)+(5)。

詳細解析

本題觀念:

23 歲男性糞便帶黏液與血,結腸鏡見持續性黏膜發炎,病理切片呈現腺窩膿瘍及黏膜層大量發炎細胞浸潤,典型為 ulcerative colitis。題幹考點集中在 ulcerative colitis 的流行病學與已知環境危險(或保護)因子。

影像分析:

  1. 全大腸鏡影像:黏膜彌漫性潮紅、失去血管紋理,可見小片狀白色纖維素性滲出物與黏膜顆粒狀外觀,呈現連續分佈,未見「正常腸段跳躍」,符合 ulcerative colitis 典型外觀。
  2. 組織切片 (H&E):僅限於黏膜層的密集發炎細胞(多為中性球、漿細胞),腺體變形並有腺窩膿瘍,無肉芽腫、無全層炎症,支持 ulcerative colitis 而非 Crohn disease。

選項分析

  • 選項(1) 西班牙裔美國人發生率較白人為高
    現代大型流行病學資料顯示 ulcerative colitis 在美國仍以非西班牙裔白人最常見,西班牙裔族群整體發生率略低或相近,但並未高於白人 (verywellhealth.com)。故此敘述錯誤。

  • 選項(2) 抽煙可降低此病的發生率
    多篇回顧與 meta-analysis 指出吸菸者罹

...(解析預覽)...