108年:內專
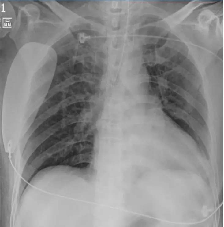
67歲男性病人與好友熬夜玩麻將,翌日9:13AM突然倒地急救,經119 EMT施行CPR,26分內送抵急診處。中間有多次VT/VF,施行DC shock 5次,其後的病程有CPCR共56分及電擊9次,使用amiodarone + Lidocaine+ MgSO4,也在50分鐘內放置VA-ECMO。理學檢查: BT 35.4 °C; HR: 55 /min; RR: 20 /min; BP: 125/68mmHg臉色蒼白,無貧血,胸部無異常,心臟大小正常,心尖搏未外移,S1正常,唯在心尖及LLSB有Grade 3/6 systolic murmur,其他部位未見異常。 既往病史:1.2007年診斷心臟病及心律不整,服用Propranolol用。2. 每天抽煙1.5包,有40年之久。3. 喜好高梁酒,每天30cc。4. 無家族類似病史。其冠狀動脈血管攝影: 冠狀動脈造影檢查顯示主幹及三分枝暢通,未有血栓阻塞。心電圖、胸部X光、心臟超音波與抽血資料(如圖)所示。依上述病狀及初步檢查,如您應會診照會,請問這位病人發生OHCA(Out-hospital cardiac arrest) 最可能的原因是:
AAcute myocardial infarction
BSeptic shock
CDilated cardiomyopathy
DHypertrophic cardiomyopathy
EBrugada syndrome
詳細解析
本題觀念:
本題在判斷一位經歷OHCA後,有正常冠狀動脈造影卻反覆VT/VF的老人,需透過心電圖、胸部X光、超音波及實驗室數據,鑑別急性心肌梗塞、敗血性休克、擴張型心肌病、肥厚型心肌病、Brugada症候群等可能性,並釐清最可能的致病機轉。
影像分析:
- 心電圖
- 節律:竇性心律,心跳率約55/min。
- QRS 電壓:V1–V3深S波、V4–V6高R波,符合左心室肥厚(左室心肌壁增厚)之Sokolow–Lyon標準。
- ST–T走形:V5–V6見ST下降伴T波倒置,呈「strain」型變化,常見於LVH合併末梢傳導壓力增加。
- 胸部X光
- 心影:心臟大小正常,無明顯肺水腫或肺紋理增粗,無感染或肺炎徵象。
- 置管:可見ECMO或監測導線分佈於胸廓。
- 心臟超音波(Parasternal long-axis view)
- 室間隔厚度(IVSd)3.3 cm,後壁厚度(LVPWd)1.4 cm,septal/posterior 壁厚度比遠大於1.3,符合非對稱室間隔肥厚(asymmetric septal hypertrophy)診斷標準([pmc.ncbi.nlm.nih.gov](https://pmc.ncbi.nlm.nih.gov/articles/PMC747396
...(解析預覽)...