107年:內專
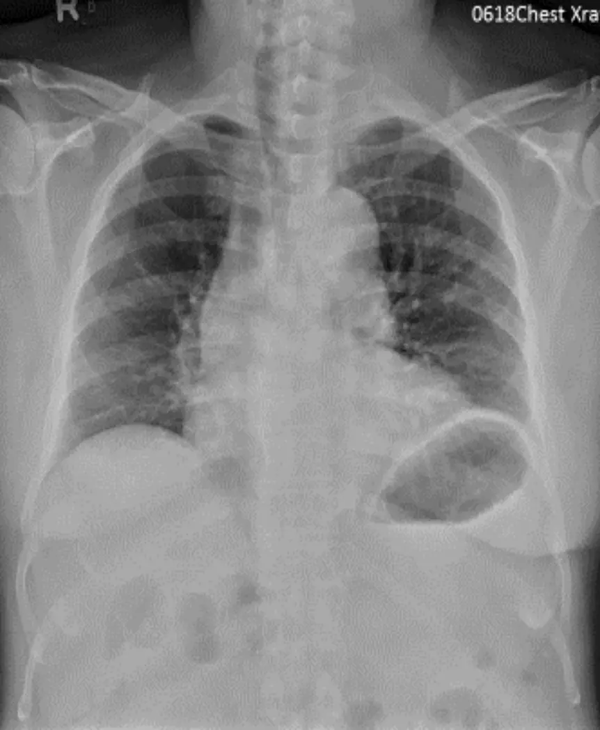
76歲老先生因有一個月呼吸困難及左下腳水腫而住院,症狀因用力工作而加劇,要休息才能緩解,診間發現左頸有腫塊及左頸靜脈怒張,同時聲啞狀。BP:179/79 mmHg; VR:76/min; RR:18/min; SpO2=93%,心尖處有Gr 2/6 systolic murmur;肺部正常呼吸聲,雙下肢水腫,左邊比右邊嚴重。血液氣體分析顯示 pH:7.384; pO2: 87.8mmHg; pCO2:46.7 mmHg; HCO3:27.2 mmol/L。住院血液檢查:WBC:3.77x10*3/uL; RBC:5.1x10*6/uL; Hb:16.4 gm/dL; Platelet: 49x10*3/ul; (詳見附表)其心電圖及胸部X光如圖。心臟超音波顯示:LVEDD 56mm; LVESD 34mm; LVEF: 70%; LA: 40mm; TR max PG: 35 mmHg; 頸瘤切片檢查病理診斷:Lymphoma。 請問下列何者是最可能的臨床診斷?
AAcute myocardial infarction
BMay-Thurner syndrome with pulmonary thromboembolism
CThoracic aortic dissection
DTumor-associated hypercoagulopathy and pulmonary embolism.
EHypertensive cardiovascular disease with HFpEF
詳細解析
本題觀念:
癌症相關高凝狀態(Trousseau syndrome)可誘發深部靜脈栓塞(DVT)並進而造成肺栓塞(PE),尤其血液腫瘤(如lymphoma)因腫瘤細胞過度表現tissue factor及釋放微粒而處於持續性血栓傾向。
影像分析:
-
心電圖:呈現正常竇性心律,無明顯ST段抬高或壓低,亦未見典型S1Q3T3徵象,無心肌梗塞或急性右心負荷之顯著表現。
-
胸部X光:左右肺野無肺部浸潤或肺水腫,心臟輪廓並未顯著增大。上縱隔可見中等程度寬窄變化,提示左側頸部及縱隔淋巴結腫大所致之影像。
-
心臟超音波:LVEDD 56mm、LVESD 34mm、LVEF 70%顯示左室射出分率正常;TR max PG 35mmHg估算右室-右心房壓差略高,對應肺動脈收縮壓約35–45mmHg,屬輕度至中度肺動脈高壓可能,並無顯著右心過載。
選項分析
- 選項A Acute myocardial infarction
無胸痛表現,troponin T僅0.025ng/mL未達急性MI明確診斷標準,心電圖無ST-T變化,心尖區僅輕度收縮期雜音且LVEF正常,不符急性MI([ncbi.nlm.nih.gov](https://www.ncbi.nlm.nih.gov/books/NBK562222/?utm_source=cha
...(解析預覽)...