107年:內專

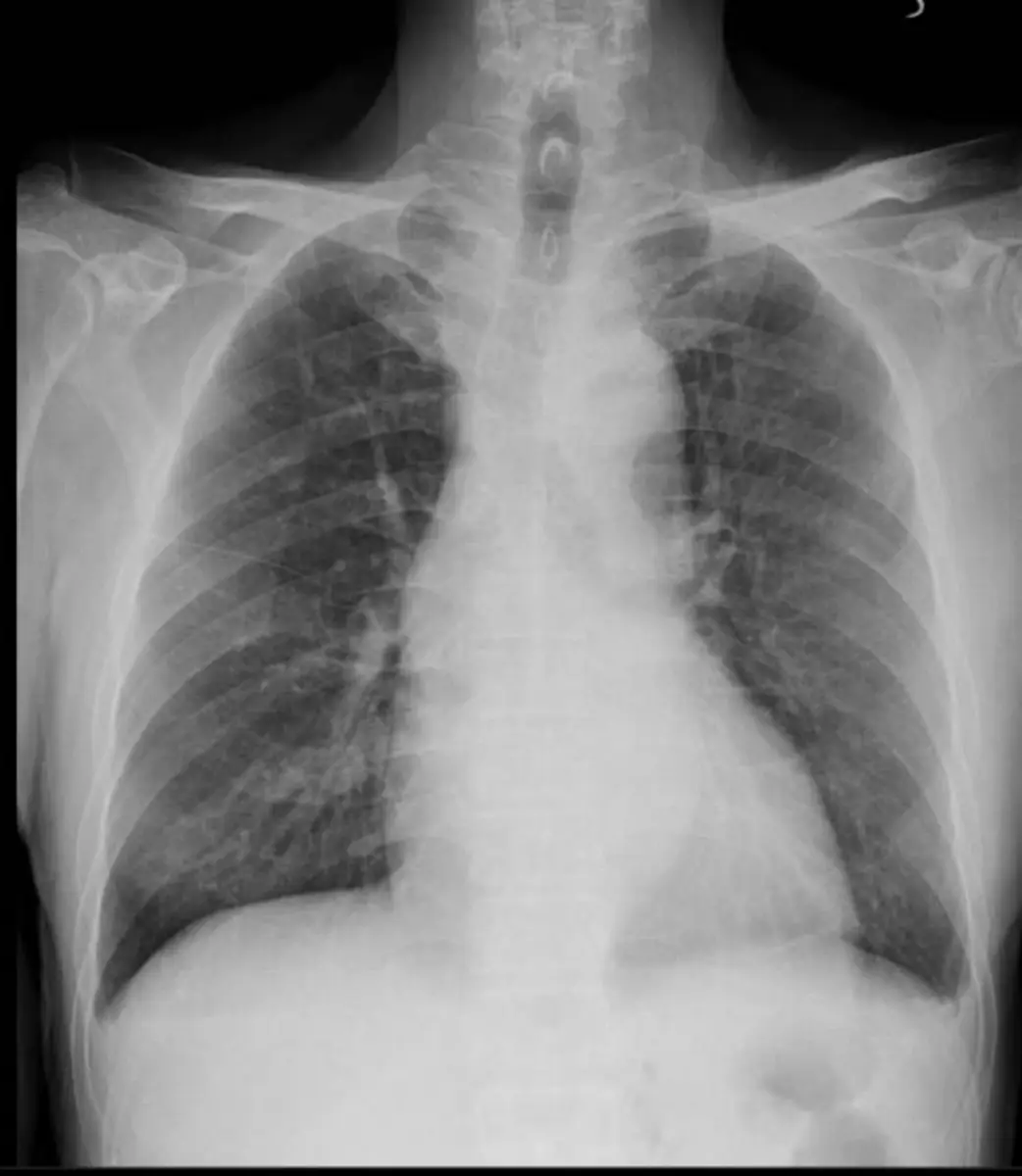
一位70歲女性病患胸痛1小時到急診,過去病史有高血壓與高血糖;但血壓控制不良,至急診時血壓為160/100毫米汞柱,糖化血色素最近數值為8.0%,最近無出血傾向或上消化出血紀錄,血氧飽和濃度(SpO2) 為98%.聽診心臟無S3奔馬音,肺部聽診無濕囉音(moist rales)或喘鳴音(wheezing),四肢皮膚溫暖且下肢無水腫,心電圖與胸部X光片如圖一及圖二。請問下列敘述何者為是? (1). 該病患應該立刻至心臟科一般病房住院,住院後應照會心臟科醫師 (2). 給予該病患阿斯匹靈 (aspirin) (3). 因血壓過高,給予短效鈣離子阻斷劑nifedipine 5mg 來降血壓 (4). 可給予病人舌下nitroglycerin (5).可給予病人乙型受體阻斷劑(beta-blocker) 圖片描述 圖片描述

A(1)+(2)+(3)+(4)
B(1)+(2)+(3)+(4)+(5)
C(2)+(4)+(5)
D(2)+(3)+(4)+(5)
E(1)+(2)+(4)+(5)

詳細解析

本題觀念

急性ST段上升型心肌梗塞(STEMI)的急診初步處置,以迅速給予抗血小板藥物、改善缺血的血管擴張劑及β受體阻斷劑為主;避免使用可能引起反射性心動過速或血壓劇烈波動的速效二氫吡啶類鈣離子拮抗劑;並立即啟動再灌注策略(優先經皮冠狀動脈介入治療)。

影像分析

  1. 心電圖(ECG)顯示:V1–V4明顯的ST段抬高,且R波高尖,符合前壁(anterior wall)STEMI特徵;V5–V6亦稍微抬高,無明顯Q波形成,提示剛發生約1小時內的急性梗塞。
  2. 胸部X光片:心影不增大,肺野清晰、無明顯血管紋理增粗或濕囉音所對應的肺水腫徵象;無胸腔積液或其他肺部病灶,支持此時尚無心衰或肺水腫。

選項分析

  • 選項(1) 該病患應該立刻至心臟科一般病房住院,住院後應照會心臟科醫師
    急性STEMI首要在急診決定是否立即再灌注(首選PPCI)。若符合comprehensive PCI center條件,應直接轉至導管室,不應只是做一般病房登記後再照會(延誤治療)。此選項錯誤。

  • 選項(2) 給予該病患阿斯匹靈 (aspirin)
    AHA/ACC將蠻咀嚼aspirin 162–325 mg作為STEMI初步處置Class I建議,能快速抑制TXA₂生成而減少血栓形成,並應於24小時內持續維持每日75–162 mg([ah

...(解析預覽)...