106年:內專

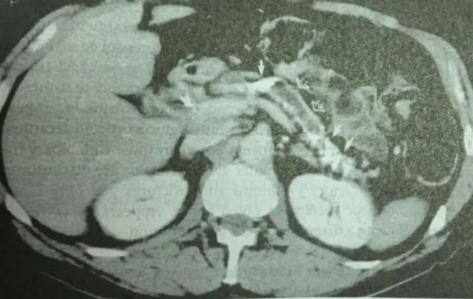
68歲男性有酗酒病史,因間歇性腹痛合併腹瀉7個月至急診,病患並未服用任何藥物。身體檢查並無發燒,BP:108/72mmHg、脈搏:80/min、呼吸16/min,肚子並無壓痛也未有腹脹。血液檢查AST:155U/L、ALT:88U/L、ALP:96U/L、Bilirubin(total):1.1mg/dL、amylase:65U/L、lipase:70U/L。糞便檢查有脂肪,腹部電腦斷層如圖,下列何者為正確治療? 圖片描述

Afiber
Bcholestyramine
Cloperamide
Dpancreatic enzyme
Eciprofloxacin

詳細解析

本題觀念:

慢性酗酒相關慢性胰臟炎造成胰臟外分泌功能不全(exocrine pancreatic insufficiency, EPI),導致脂肪吸收不良及脂肪瀉(steatorrhea);影像可見胰臟鈣化及胰管擴張;治療首選胰臟酵素補充。

影像分析:

腹部電腦斷層顯示胰臟實質內多發粗大鈣化灶,胰管呈不規則擴張,符合慢性胰臟炎晚期影像特徵(parenchymal/ductal calcifications 最具特異性,可見於約50%個案,胰管擴張約68%)(pmc.ncbi.nlm.nih.gov);鈣化常散佈於胰頭及胰體部,代表長期發炎後纖維化與石灰化形成,臨床上即可能出現胰外分泌不足症狀。

選項分析

  • 選項A fiber
    高纖飲食可加重脂肪瀉且會干擾胰酵素活性,不適用於胰臟外分泌不足所致之脂肪吸收不良(ncbi.nlm.nih.gov)。

  • 選項B cholestyramine
    核黃素樹脂(cholestyramine)用於膽鹽流失性腹瀉

...(解析預覽)...