106年:內專

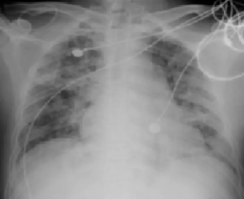
某50歲台電員工於颱風後曾至水災地區處理倒塌電線桿,約10天後出現高燒、頭痛、肌肉痠痛、咳嗽帶血、呼吸急促,住院檢查後發現:結膜下出血(如圖一)、黃疸、腎功能失常、低血鉀等。胸部X光(如圖二)請問下列敘述何者為正確?(1)此病為以動物為宿主之寄生蟲所引起;(2)必須等待病原體之血液培養結果為陽姓,方能確定診斷與開始治療;(3)發病十天後體內已產生抗體,但尿液中仍可能有病原體之存在;(4)此病即Weil's disease,有高死亡率之危險;(5)此病靠臨床診斷,須立即給予抗生素治療。 圖片描述 圖片描述

A(2)+(3)+(4)
B(1)+(2)+(4)
C(1)+(3)+(4)
D(3)+(4)+(5)
E(1)+(4)+(5)

詳細解析

本題觀念:

Severe icteric leptospirosis (Weil’s disease) 的 biphasic illness:初期為 leptospiremia 階段(約發病前至第7–10天),之後進入免疫階段,體內產生抗體但Leptospira 持續自尿液排出,且典型併發有肝腎功能障礙、肺出血及結膜充血/出血。

影像分析:

  1. 眼部照片:雙側結膜明顯充血並伴有結膜下點狀出血(subconjunctival hemorrhage),為 leptospirosis 特有的結膜充血(conjunctival suffusion)表現,非單純細菌性結膜炎。
  2. 胸部X光:雙側肺野散在不均勻的實質浸潤,部分區域呈磨玻璃密度,提示肺部出血或急性呼吸窘迫症候群(ARDS),與 Weil’s disease 中可見的重度肺出血相符。

選項分析

  • 選項A (1)+(2)+(4)
    (1)錯:Leptospira 為細菌性螺旋體,非寄生蟲。
    (2)錯:血液或尿液文化雖為診斷標準,但耗時且敏感度不佳,臨床上須先懷疑即用藥。
    (4)對:Weil’s disease 死亡率高。

  • 選項B (1)+(2)+(4)
    同A,(1)(2)皆錯。

  • 選項C (1)+(3)+(4)
    (1)錯,僅(3)(4)對。

...(解析預覽)...