114年:醫學五(2)
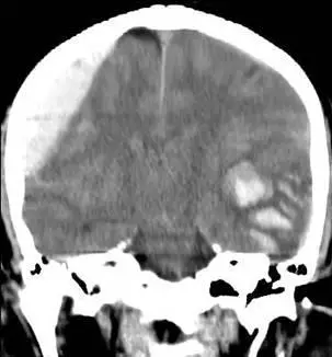
承上題【一位18歲男性因車禍送來急診,剛開始意識清楚可以對答問題,頭皮有一撕裂傷; 30分鐘後,在縫合的過程中,意識狀況變差至 E2V1M4。下列何項處置最適當?】, brain CT 做完後如附圖所示,下列敘述何者錯誤?
A左腦為epidural hematoma ,右腦為 contused intracranial hematoma
B右腦的出血來源多半為顱骨骨折造成中腦膜動脈( middle meningeal artery )破裂而產生
C左腦的出血來源多半為大腦本身的血管破裂而產生
D若病人的瞳孔出現放大的情形,則建議進行開顱減壓手術
詳細解析
本題觀念:
急性頭部外傷後之顱內出血型態判讀(epidural hematoma vs. cerebral contusion/intraparenchymal hematoma)與其來源血管及臨床處置
影像分析:
從 coronal 無對比腦部 CT 可見:
- 影像左側(病人右側)沿顱骨內板貼附一塊均質高密度、雙凸(biconvex)之出血,內側邊緣光滑向腦實質凸出,未沿縫線延伸,可見明顯質量效應與正中結構左偏,典型急性 epidural hematoma (saem.org)。
- 影像右側(病人左側)大腦皮質下呈現多發混雜高密度斑點,周邊伴低密度水腫,呈「salt-and-pepper」外觀,符合 traumatic cerebral contusion 併 intraparenchymal hematoma (clinicalgate.com)。
- 明顯 midline shift,若持續進展將引發單側散大瞳孔(第三腦神經受壓)及顱內壓急升。
選項分析
-
選項A
敘述「左腦為 epidural hematoma,右腦為 contused intracranial hematoma」與影像所示相反;實際為病人右側 epidural、左側 contusion,故錯誤。 -
選項B
「右腦的出血來源多半為顱骨骨折造成 middle meningeal artery 破裂」—epidural hematoma 常因顳骨骨折撕裂 middle meningeal artery (ncbi.nlm.nih.gov),符合影像右側(病人右側)病灶,正確。 -
選項C
「左腦的出血來源多半為大腦本身血管破裂而產生」—cerebral contusion 為腦實質小血管撕裂所致 intraparenchymal hemorrhage (introductiontoradiology.net),符合左側病灶,正確。 -
選項D
若出現瞳孔散大提示顱內高壓與顱內容量不足,急性開顱減壓(包括去骨瓣減壓或血腫清除)為公認處置,正確。
答案解析
影像明確顯示病人右側為典型 epidural hematoma、左側為 contused intracerebral hematoma;選項A將左右側病變對調,因此為唯一錯誤敘述,為本題正確答案。
臨床重要性
- 正確辨識 epidural(雙凸形、動脈性、高壓快速惡化)與 subdural/contusion(新月形或實質內、靜脈或微血管、演變較慢)對急診處置與手術時機判斷關鍵。
- 伴隨神經惡化(GCS ↓、瞳孔變化)時須即時神經外科介入,延遲將增加腦疝與死亡風險。