113年:醫學六(2)

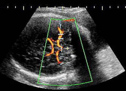
22歲孕婦,G4P1SA2,妊娠32週,接受杜卜勒(Doppler)超音波檢查,結果如圖所示,檢查名稱為何? 圖片描述

A臍動脈血流杜卜勒超音波
B胎兒下腔靜脈血流杜卜勒超音波
C胎兒中大腦動脈血流杜卜勒超音波
D胎兒下行主動脈血流杜卜勒超音波

詳細解析

本題觀念:

本題考察Doppler超音波在胎兒血流動力學評估中的應用,重點在於辨識胎兒顱內主要血管(尤其是middle cerebral artery, MCA)以及其於評估胎兒缺氧、腦部乖離(brain-sparing effect)和胎盤功能不全時的臨床意義。

影像分析:

從彩色Doppler影像可見:

  • 掃描平面為胎兒頭顱的橫切面,定位在顱底區域,可見蝶骨小翼(sphenoid wing)陰影。
  • 在腦底中央呈現圓環形血流訊號,即「Willis環」(circle of Willis),其左右兩側分岔向外的是主要分支。
  • 血流顏色由近似探頭方向流入顯示為紅色/黃色,高速血流已出現部分aliasing mosaic現象,符合動脈血流特徵。
  • 樣本採集點位於Willis環近端的側向分支,即MCA的近端(proximal segment),波形最具重現性。

以上特徵與middle cerebral artery Doppler評估的典型擺位相符。

選項分析

  • 選項A:臍動脈血流杜卜勒超音波
    臍動脈位於臍帶中,掃描時會見到「三血管結構」(兩條動脈、一條靜脈),周邊環境為羊水與臍帶本身,與頸部或顱內結構無關,影像中並無臍帶結構,故排除。

  • 選項B:胎兒下腔靜脈(inferior vena cava)血流杜卜勒超音波
    下腔靜脈與d

...(解析預覽)...