113年:專師外科
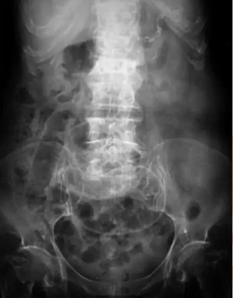
80 歲女性為長期糖尿病、高血壓及中風不良於行之病人,因急性腹痛來急診就醫,其平躺之腹部 X 光如圖 (一),另一張左側躺之腹部 X 光檢查如圖 (二),下列敘述何者正確?
A推測有腹腔積水,可能為腹腔腫瘤導致
B推測有腹部脹氣,可能為腸阻塞導致
C推測有腹腔積氣,可能為腹腔內中空臟器破裂導致
D為正常腹部影像,只須持續追蹤
詳細解析
本題觀念:
本題聚焦「腹腔內游離氣體(pneumoperitoneum)」的影像診斷特徵,以及腹腔內游離氣體最常因「中空臟器破裂」所致的急腹症緊急處置考量。
影像分析:
Supine 腹部 X 光(圖一):
- 可見整體腸管雜亂分布的氣相(diffuse gas pattern),但無明顯廣泛氣液平面。
- 中線或上腹區出現一條中央偏淺的放射透亮月牙狀陰影,並可疑有氣體沿肝臟前緣或腹膜韌帶(falciform ligament)外緣分布,形成 cupola 或 falciform ligament sign。
→ Supine 片中游離氣體不會集中在橫膈下方,故常以上述徵象偵測(如 Rigler’s sign、falciform ligament sign、cupola sign)(ajronline.org)。
Left lateral decubitus 腹部 X 光(圖二):
- 患者左側臥,空氣自然上浮至右側非依賴區(即肝臟與腹壁之間),形成明顯半月形放射透亮影。
- 可清楚見 free air 輪廓與肝下緣之間的分界,為診斷游離氣體最直接的證據。
→ 左側
...(解析預覽)...