106年:(醫檢)血液(2)
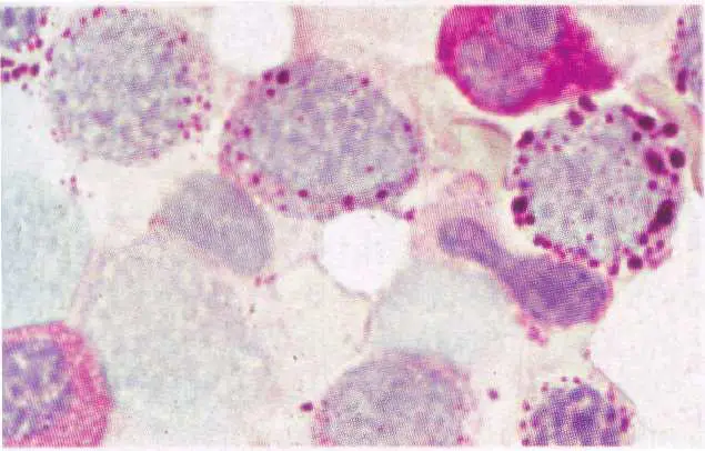
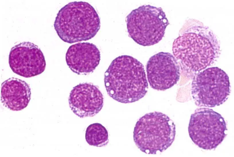
某一急性白血病的血液抹片結果如圖 ①,periodic acid-Schiff (PAS )stain 結果如圖 ②,其最可能為下列何種疾病?圖① 圖②

AAML M6
BAML M3
CAML M1
DAML M4
詳細解析
本題觀念:
本題考核急性白血病(acute leukemia)的血液抹片型態學與細胞化學染色判讀,重點在於辨識 AML M6(急性紅白血病,acute erythroleukemia)的特徵性表現——包括血液抹片上的紅血球前驅細胞增生,以及 PAS(periodic acid-Schiff)染色的特殊陽性型態。
影像分析:
圖① — 血液抹片(Wright-Giemsa 染色):
視野中可見多個大型母細胞(blasts),細胞大小不一但普遍偏大,具備以下特徵:
- 核(nucleus):圓形至卵圓形,染色質(chromatin)較細緻,部分細胞可見 1–2 個明顯核仁(nucleoli)
- 胞質(cytoplasm):深嗜鹼性,呈藍紫色,部分細胞可見細胞質內有空泡(vacuoles)
- 右上角可見一個較大、胞質呈淡粉紅色(嗜酸性)的有核細胞,形態符合晚期有核紅血球(orthochromatic normoblast)
- 整體細胞群以紅血球前驅細胞(erythroid precursors)為主,夾雜母細胞群,高度提示紅白血病(erythroleukemia)
圖② — PAS(Periodic Acid-Schiff)染色:
在 PAS 染色下,視野中多個大型細胞的胞質內可見**散在性顆粒狀至塊狀(granular to
...(解析預覽)...

升級 VIP 解鎖圖文解析