105年:醫學六(2)
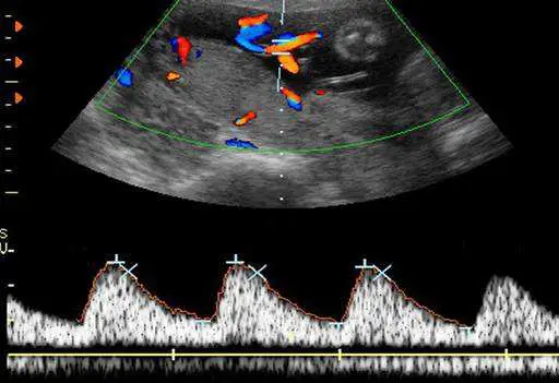
21 歲孕婦,G1P0 ,妊娠 38 週,接受杜卜勒超音波檢查,結果如圖所示,其檢查名稱為下列何者? 
A臍動脈血流速度波形
B胎兒上行主動脈血流速度波形
C胎兒主動脈彎血流速度波形
D胎兒降主動脈血流速度波形
詳細解析
本題觀念:
本題考查產科杜卜勒超音波(obstetric Doppler ultrasound)的應用,核心概念為辨識**臍動脈血流速度波形(umbilical artery flow velocity waveform)**的影像特徵。臍動脈杜卜勒是評估胎盤功能及胎兒宮內狀態的重要非侵入性工具,在高風險妊娠管理中扮演關鍵角色。
影像分析:
本題圖片為**彩色杜卜勒雙功超音波(color Doppler duplex ultrasound)**影像,包含上下兩個部分:
上半部分(B-mode + Color Doppler):
- 灰階超音波背景下可見扇形掃描影像(腹部超音波),胎兒組織結構可見
- 影像中可見彩色血流訊號(color flow signals):紅/橙色代表朝向探頭方向流動的血流,藍色代表遠離探頭方向流動的血流
- 彩色血流訊號集中於臍帶走行區域,可見多段血管截面的彩色標記,提示臍帶(umbilical cord)切面
- 取樣框(sample volume)設置於臍帶血管上以獲取頻譜
下半部分(Spectral Doppler waveform):
- 顯示頻譜杜卜勒波形(spectral Doppler waveform),呈現典型的搏動性動脈血流波形
- 波形特徵:
- 呈現規則的週期性**高
...(解析預覽)...
![醫師[2] - 胎兒評估與產前遺傳診斷 - AI 圖文解析預覽](/_next/image?url=https%3A%2F%2Fbgvxfcrmbdvefjhuvrmt.supabase.co%2Fstorage%2Fv1%2Fobject%2Fpublic%2Fvisual-explanations%2F1074%2F71590_t083c4w52.webp&w=3840&q=75)
升級 VIP 解鎖圖文解析