112年:內專
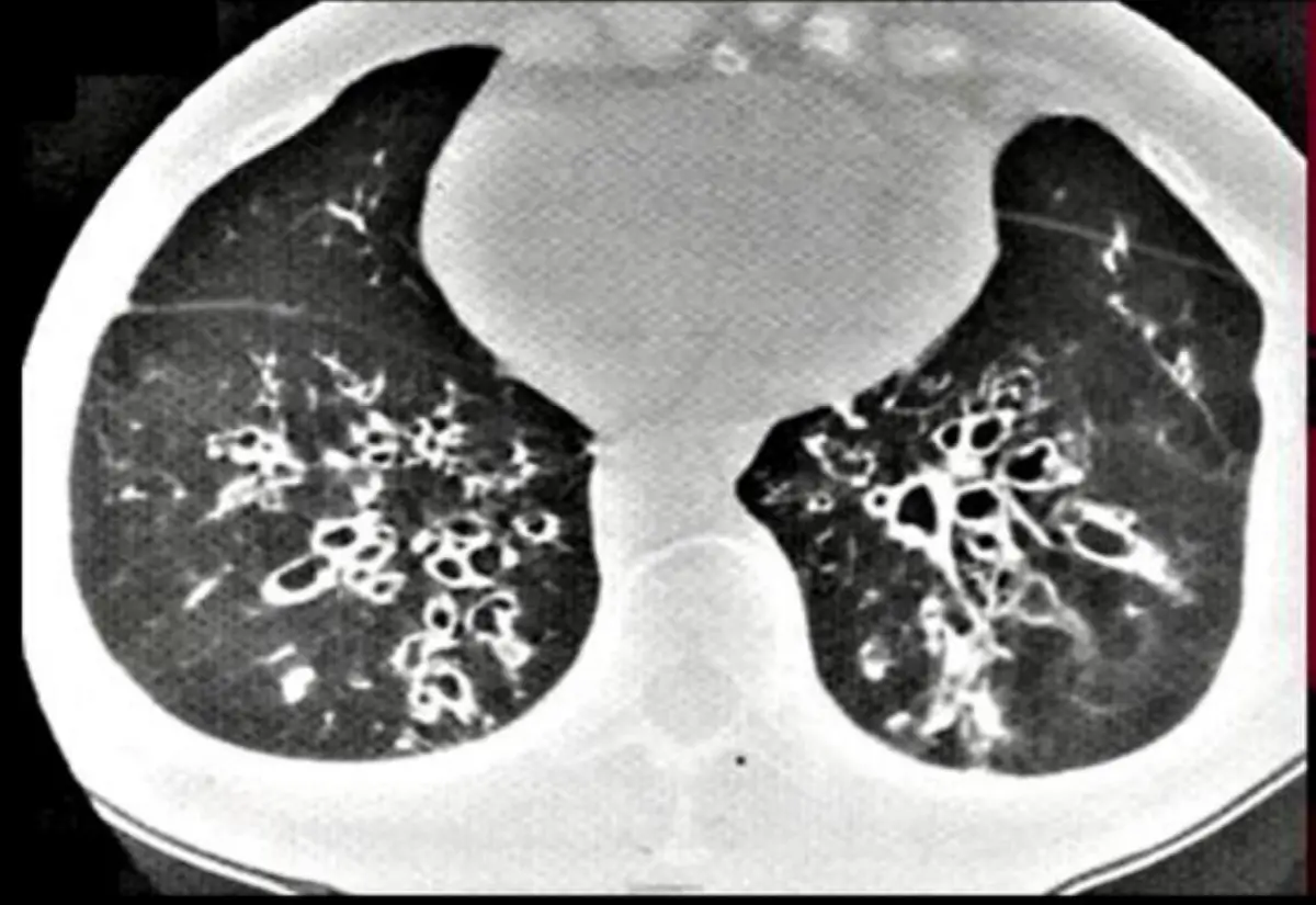
某60歲女性因慢性咳嗽與濃痰來內科門診。聽診時在雙側下肺葉有聽到crackles。胸部電腦斷層如圖。請 問下列診斷何者可能性最高?
AOrganizing pneumonia。
B硬皮症相關間質性肺病 (SSc-ILD)。
CBronchiectasis。
DFibrotic hypersensitivity pneumonitis。
ESarcoidosis。
詳細解析
本題觀念:
本題核心在於透過高解析度電腦斷層(HRCT)影像模式辨識與鑑別常見間質性肺病(ILD)與氣道病變,特別是辨認支氣管擴張(bronchiectasis)的特徵與其他疾病(如Organizing pneumonia、SSc-ILD、fibrotic hypersensitivity pneumonitis、sarcoidosis)的CT表現差異。
影像分析:
CT影像顯示雙側下肺葉大量、異質性的支氣管擴張,包括:
- Varicose bronchiectasis:支氣管呈「串珠狀」不規則狹窄與擴張交錯(beaded appearance),壁厚不均(turn0search1)(ncbi.nlm.nih.gov)。
- Cystic bronchiectasis:末端支氣管擴張成薄壁囊腔叢集(cluster of cystic spaces),類似「葡萄串」外觀(turn0search1)(ncbi.nlm.nih.gov)。
- 支氣管壁增厚、管腔內可見分泌物阻塞(muc
...(解析預覽)...