112年:內專
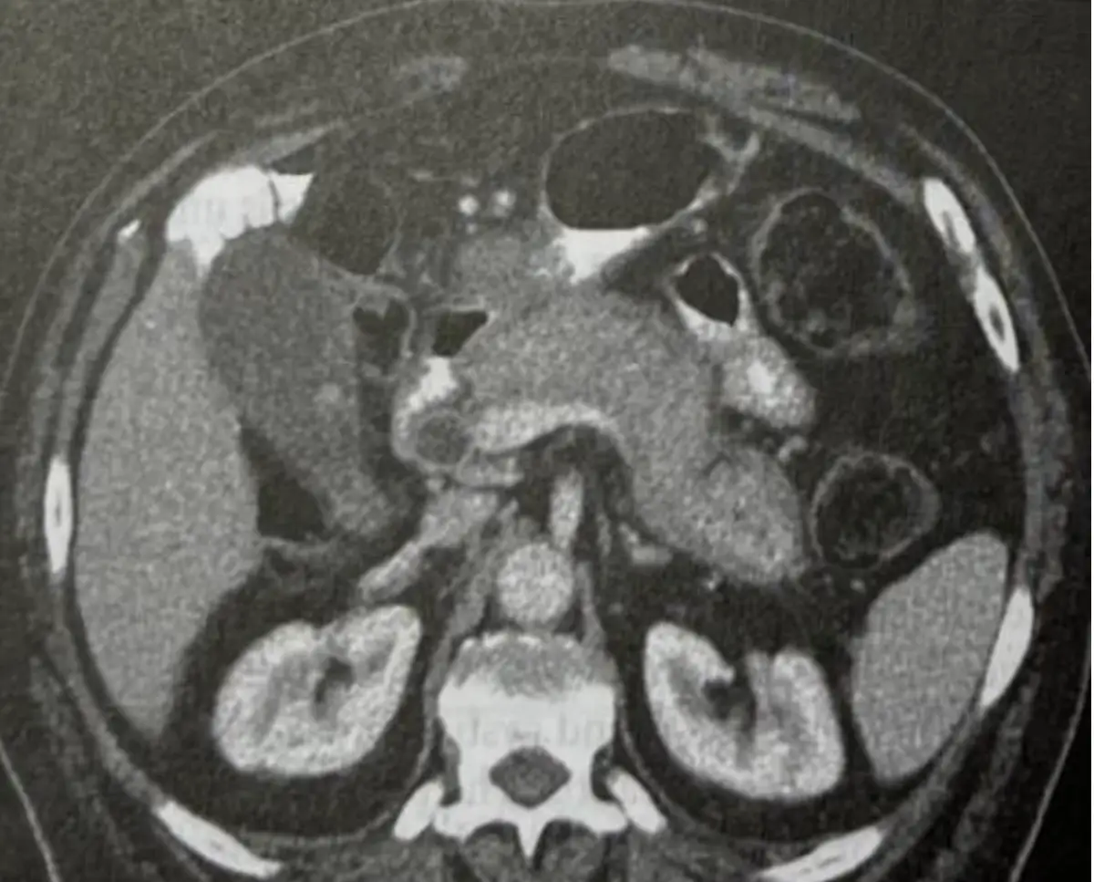
74歲女性因皮膚黃,深色尿及灰白便已經十天接受進一步評估,血液檢查結果:ALP: 175U/L, ALT: 57U/L, AST: 49U/L, Bil (T/D): 6.0/4.6 mg/dL,電腦斷層(如圖),胰臟內視鏡超音波細針抽吸檢查未見惡性 細胞,但高倍下IgG4陽性細胞超過10顆以上,下列何者為最適當之治療?
AAzathioprine。
BEndoscopic retrograde cholangiopancreatography with biliary stent。
CPrednisolone。
DTotal pancreatectomy。
EPlaquenil。
詳細解析
本題觀念:
此題核心是IgG4相關性自體免疫性胰臟炎(autoimmune pancreatitis, AIP)合併IgG4相關性膽管炎(IgG4-related sclerosing cholangitis, IgG4-SC)的診斷與治療。特點包括黃疸、膽道阻塞型肝功能異常、胰臟影像呈「腸香腸樣」腫大、活檢IgG4陽性細胞增多等。首選治療為Glucocorticoids(prednisolone)。
影像分析:
電腦斷層掃描(CT)橫截面可見:
- 胰頭及胰體區域明顯腫大,呈「腸香腸樣」(sausage-like)外觀,且周邊可見低密度「包膜樣」環帶,為典型AIP表現。
- 胰頭部鄰近處膽總管受壓變細或近端擴張,代表膽道受累,與臨床黃疸、灰白便相符。
- 無明顯不規則侵犯周圍血管或局部鈣化、壞死等惡性特徵,有助排除胰頭癌。
此影像支撐IgG4相關胰膽管疾病,而非胰臟惡性腫瘤。
選項分析
- 選項A Azathioprine
雖然Azathioprine常被用作長期維持或類固醇減量的免疫抑制藥,但並非初次誘導治療首選。對於AIP,啟動時需以glucocorticoids為主,再視病情添加Azathioprine作維持,減少復發([ncbi.nlm.nih.gov](https://www.ncbi.nlm.nih.gov/pmc/arti
...(解析預覽)...