111年:內專

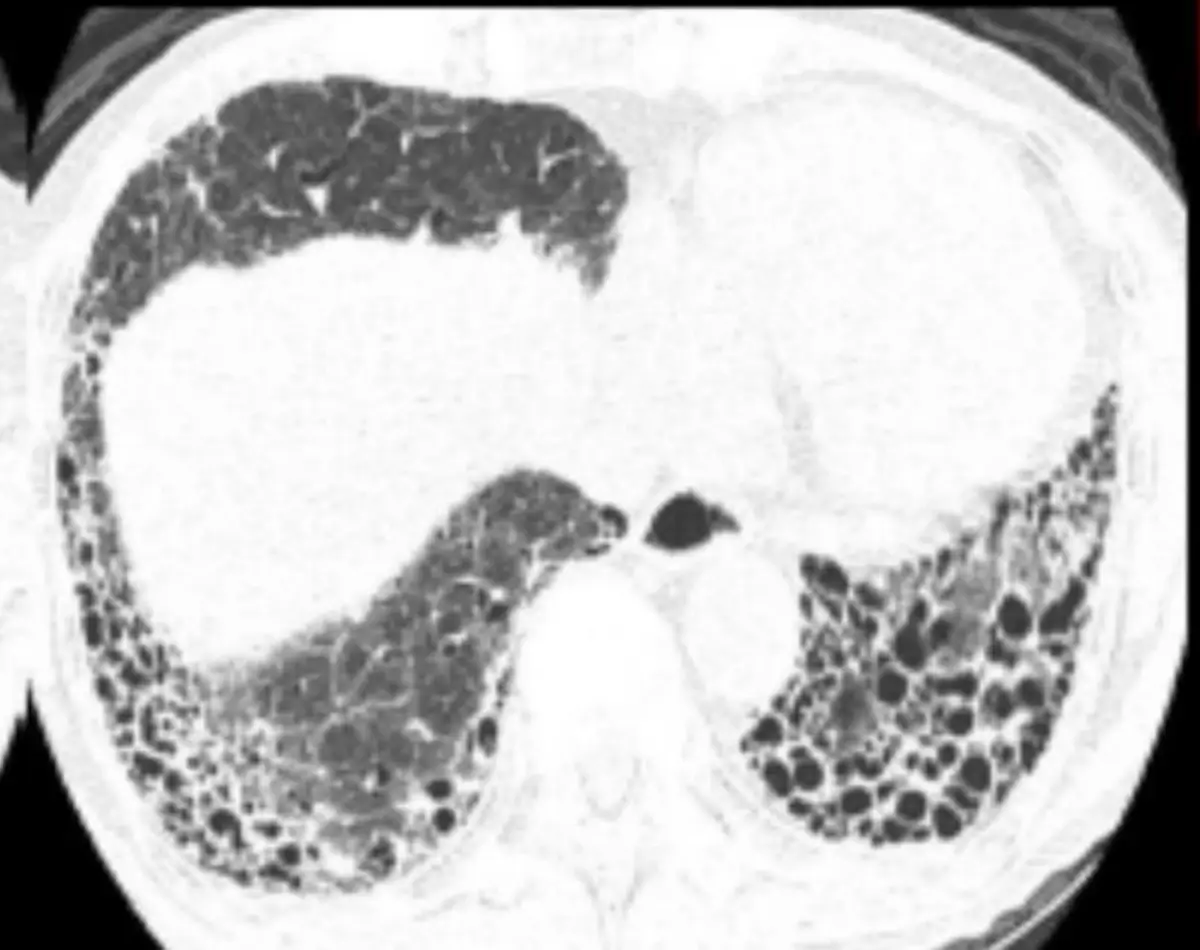
某90歲病人因乾咳與呼吸困難就醫,過去未曾吸菸。聽診時下肺葉有 crackles,胸部電腦斷層如圖所 示。下列肺功能與動脈血氣體分析結果何者最符合其診斷? 圖片描述

AFVC 67%,FEV₁ 70%,FEV₁/FVC 0.81,DLCO 40%,PaO₂ 75 mmHg,PaCO₂ 40 mmHg。
BFVC 92%,FEV₁ 70%,FEV₁/FVC 0.70,DLCO 78%,PaO₂ 75 mmHg,PaCO₂ 40 mmHg。
CFVC 77%,FEV₁ 90%,FEV₁/FVC 0.87,DLCO 80%,PaO₂ 75 mmHg,PaCO₂ 55 mmHg。
DFVC 100%,FEV₁ 70%,FEV₁/FVC 0.55,DLCO 40%,PaO₂ 65 mmHg,PaCO₂ 40 mmHg。
EFVC 57%,FEV₁ 89%,FEV₁/FVC 0.75,DLCO 87%,PaO₂ 75 mmHg,PaCO₂ 58 mmHg。

詳細解析

本題觀念:

本題核心在於辨識 idiopathic pulmonary fibrosis(IPF)所呈現的 high-resolution CT(HRCT)影像特徵(subpleural、基底葉分布的網狀纖維化與蜂窩肺)以及相對應的肺功能檢查(PFT)與動脈血氣(ABG)表現:限制性通氣模式(↓FVC、↓FEV₁、正常或↑FEV₁/FVC)伴隨顯著↓DLCO,及其典型的輕度低氧血症、正常 PaCO₂。

影像分析:

從提供之胸部 HRCT,雙側下肺葉呈現:

  • 皮質下(subpleural)與基底部(basal)對稱性網狀陰影,伴隨明顯的蜂窩肺特徵──多發大小相近、壁較厚的囊狀氣腔聚集,大小約 3–10 mm,可見囊腔層狀分布。
  • 蜂窩肺常合併牽引性支氣管擴張,但此圖重點為典型蜂窩構造,符合 UIP(usual interstitial pneumonia)圖型,最常見於 IPF(ajronline.org)、(pubmed.ncbi.nlm.nih.gov)。

臨床而言,上述影像改變解

...(解析預覽)...