109年:內專

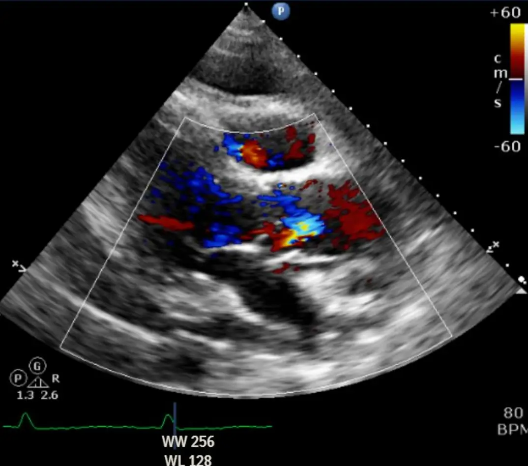
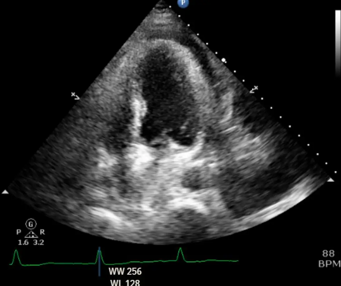
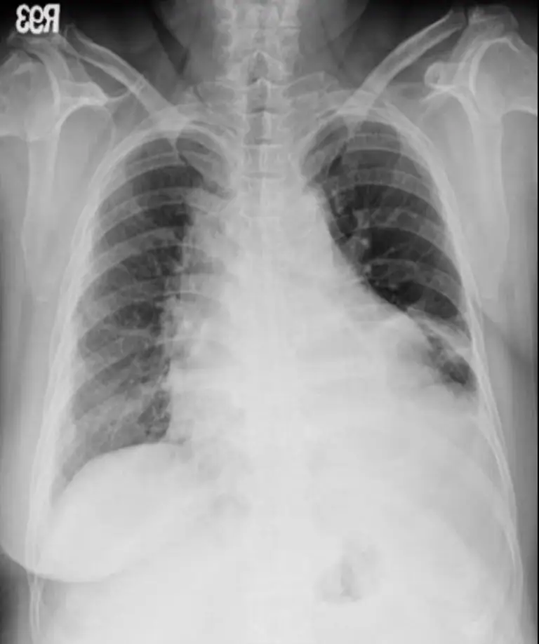
病人58歲婦女,主訴運動性呼吸困難、體重一星期間從84公斤增加至87公斤,雙腳水腫有一週之久,步 履難行,初步檢查呈現心臟擴大,乃前往醫學中心診療,在急診初步檢查Chest X-ray、心臟超音波和心 電圖(如圖),旋即住院。病人七年前有左乳癌經切除手術,至今並未完全緩解。病人近五年來,有高血壓 及糖尿病,都藥物治療中。生命徵象:T: 36.2°C, P:81/min, R:20/min, BP:150/84mmHg, Pain score:0。病 史詢問及身體理學檢查,請問下列何組心血管病理學檢查(Cardiovascular approach),是您應該觀察的標的? (1) 消沈的S1 and /or S2 (2) S3 and S4 (3) Pericardial friction (4) Mid-systolic murmur and pansystolic murmur (5) Kussmaul sign (6) Pulsating congestive liver 圖片描述 圖片描述 圖片描述 圖片描述

A(1)+(2)+(3)
B(2)+(4)+(6)
C(1)+(3)+(5)
D(4)+(5)+(6)
E(3)+(4)+(5)

詳細解析

本題觀念:

惡性腫瘤侵犯所致的大量 pericardial effusion/早期心包填塞。水瓶狀心影、低電壓/electrical alternans 心電圖及心包腔大片無回聲帶皆指向此診斷;理學上應聚焦於「被液體隔絕、順應性受限」的特徵性心包徵候。

影像分析:

  1. Chest X-ray:心臟邊緣呈對稱、光滑的「水瓶形」擴大,肺野未見肺靜脈鬱張或Kerley B線,提示為心包積液而非單純鬱血性心衰竭。(learningradiology.com)
  2. ECG:全導程 QRS 幅度明顯低於正常,部分節律可見振幅交替(electrical alternans),典型的大量心包積液圖像。(litfl.com)
  3. Echocardiogram:
    • 四腔像可見心肌與心包之間廣泛無回聲帶;右房、右室於早期舒張期呈輕度塌陷。

...(解析預覽)...